Kathleen Dombrosky and Rick Peters are wed... Kathleen Dombrosky and Rick Peters are wed... ...
The Barnhouse Village Gazebo in Bath was the setting for the Oct.
Tiffany Walters and Sean Dennison are wed... Tiffany Walters and Sean Dennison are wed... ...
Desert Botanical Garden in Phoenix, Arizona, was the setting for the wedding of Tiffany Marie Walters, daughter of Craig and Helen Walters of Tamaq
Marriage licenses... Marriage licenses... ...
Tawnie J. Gerber, Tamaqua, and Brandon R. Heffelfinger, Tamaqua.
Alesha Quaca and Todd J. Witkowski, both of Tamaqua.
Big things in small packages... Big things in small packages... ...
Wanda Miller has a fascination for small things and all kinds of crafts. Her mind and hands are never idle.
She simply loves to create.
Battling 'Hobbit'... Battling 'Hobbit'... ...
It is, after all, called "The Hobbit: The Battle of the Five Armies."
Battling 'Hobbit'... Battling 'Hobbit'... ...
It is, after all, called "The Hobbit: The Battle of the Five Armies."
Resolve to start gardening in 2015... Resolve to start gardening in 2015... ...
The arrival of a new year is always a good time for fresh starts, and there are few things as enjoyable to start or that provide fresher returns th
Living the dream... Living the dream... ...
Under Rich Strack's senior picture in his high school yearbook, his future plans included "sports writer."
Mauch Chunk Opera House schedule... Mauch Chunk Opera House schedule... ...
The Mauch Chunk Opera House, 14 W. Broadway in Jim Thorpe, announces upcoming events.
The secret to all tofu is in the pressing... The secret to all tofu is in the pressing... ...
My mom started traveling abroad when I was in high school. And after each of her trips, we cooked a meal from the country she'd just visited.
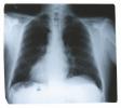
Lung cancer screening... Lung cancer screening... ...
In November Medicare published its intention to cover the cost of annual lung cancer screening for people with a history of heavy smoking.
Get the lowdown on low down payments... Get the lowdown on low down payments... ...
You may have heard the rule of thumb that you shouldn't buy a home unless you can put down 20 percent of the purchase price.
Pagination
Local News
On this date - News
Announcements
Trending Now
-
-
OLOAA announces Students of the Month for December OLOAA announces Students of the Month for December 0
-
-
-
Most Read This Past Week
Event Calendar
November 2025
| Sun | Mon | Tue | Wed | Thu | Fri | Sat |
|---|---|---|---|---|---|---|

Most Commented